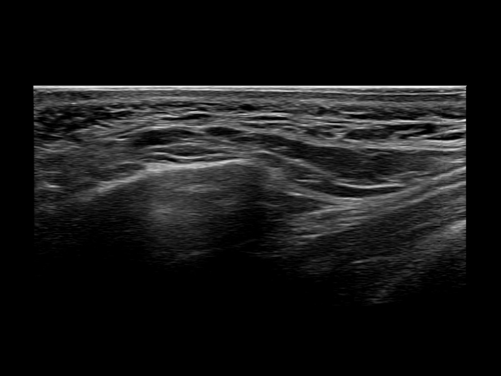
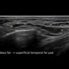
Filler behavior - Temple zygoma US
Study the first image to recognize the different layers. If you are sure about the layers, swipe to the second image to view the answer (if applicable).
Library
Hover over an image to view the secondary image or click on the image title for more information.












































