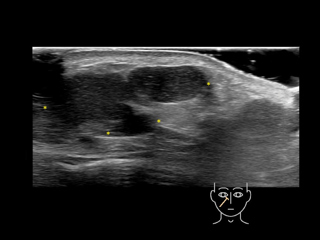
Fillers
Draw in the image on the right where the fillers are located. To check if your answer is correct, please click on the secondary image.
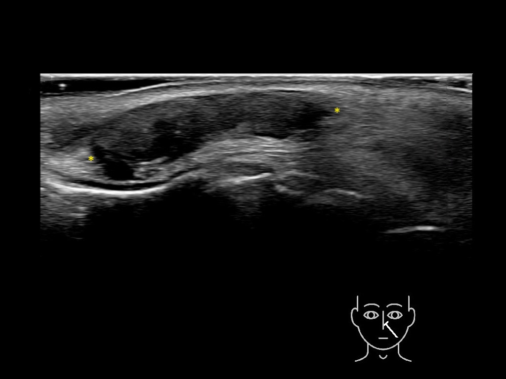
Fillers
Draw in the second image below where the fillers are located. To check if your answer is correct, swipe the first image to the right.
Drawing academy test
Filler library
-


ba42a
-


ba43a
-


ba44a
-


ba45a
-


ba46a
-


ba47a
-
ba48a
-


ba49a
-


ba4a
-


ba50b e
-


ba51a
-


ba5a
-
ba6b e
-


ba7b e
-


ba8b e
-


ba9a
-

Polyalkylimide ba 41a
-


Polyalkylimide ba10a
-


Polyalkylimide ba11a
-


Polyalkylimide ba12a
-


Polyalkylimide ba13a
-


Polyalkylimide ba14a
-


Polyalkylimide ba15a
-


Polyalkylimide ba16a
-


Polyalkylimide ba17a
-


Polyalkylimide ba18a
-


Polyalkylimide ba19a
-


Polyalkylimide ba1a
-


Polyalkylimide ba20a
-


Polyalkylimide ba21a
-


Polyalkylimide ba22a
-


Polyalkylimide ba23a
-


Polyalkylimide ba24a
-


Polyalkylimide ba25a
-


Polyalkylimide ba26a
-


Polyalkylimide ba27a