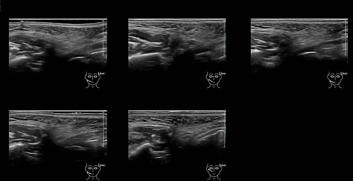
Fillers
Draw in the image on the right where the fillers are located. To check if your answer is correct, please click on the secondary image.
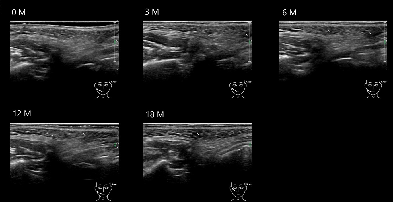
Fillers
Draw in the second image below where the fillers are located. To check if your answer is correct, swipe the first image to the right.
Filler library
-


O PLLA1 E
-


O PLLA10 E
-


O PLLA11 E
-


O PLLA12 E
-


O PLLA13 E
-


O PLLA14 E
-


O PLLA15 E
-


O PLLA16 E
-


O PLLA17 E
-


O PLLA18 E
-


O PLLA19 E
-


O PLLA2 E
-


O PLLA20 E
-


O PLLA3 E
-


O PLLA4 E
-


O PLLA5 E
-


O PLLA6 E
-


O PLLA7 E
-


O PLLA8 E
-


O PLLA9 E
-
plla 0
-
PLLA 10a
-
plla 10b e
-
PLLA 11a
-
plla 11b e
-
PLLA 12a
-
PLLA 13a
-
plla 13b e
-
PLLA 14a
-
plla 14b e
-
PLLA 15a
-
plla 15b e
-


PLLA 16a
-

PLLA 17a
-

PLLA 18a
-

PLLA 19a
