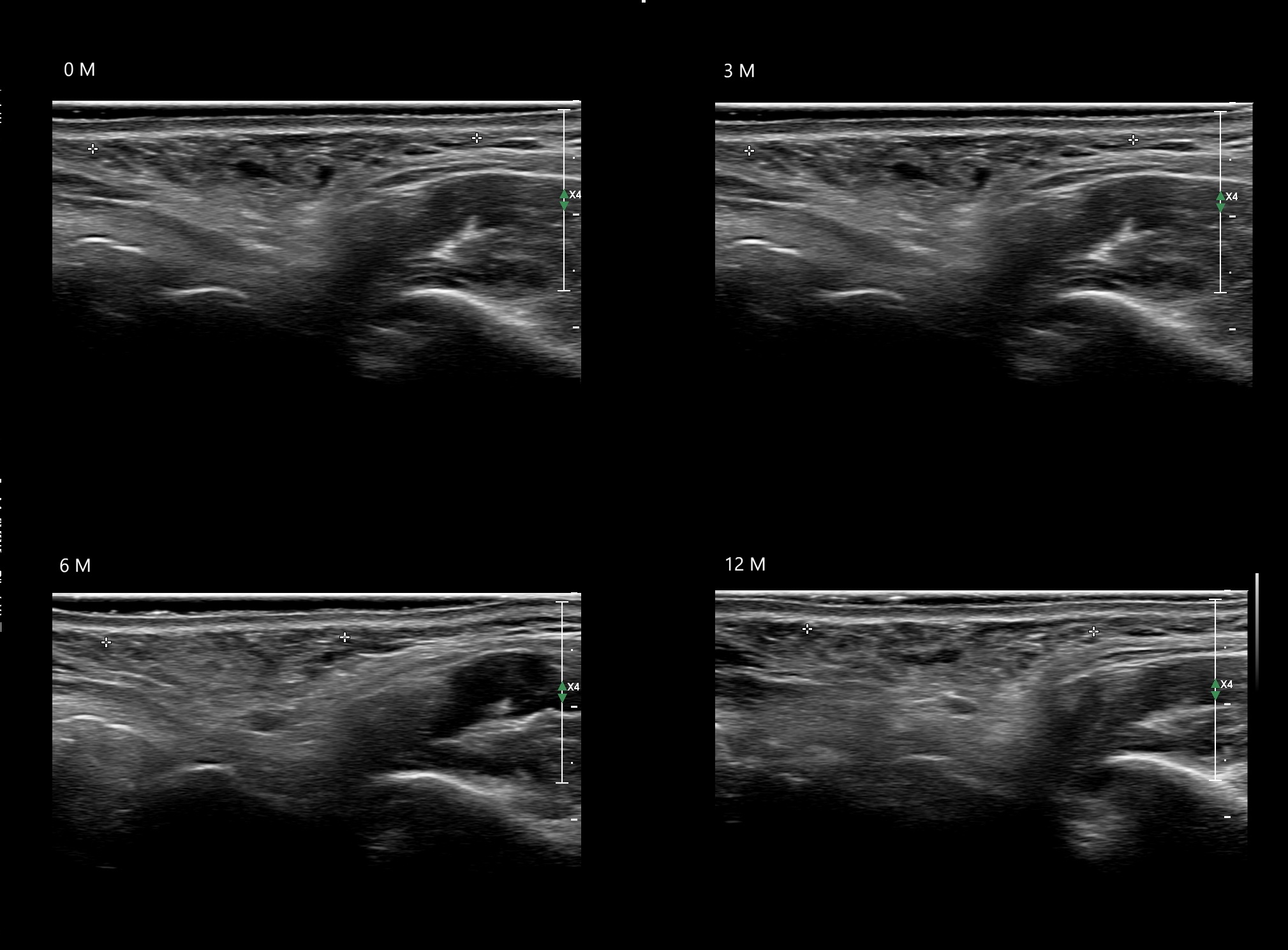
Fillers
Draw in the image on the right where the fillers are located. To check if your answer is correct, please click on the secondary image.
Fillers
Draw in the second image below where the fillers are located. To check if your answer is correct, swipe the first image to the right.
Filler library
-


O PCL1 E
-


O PCL10 E
-


O PCL11 E
-


O PCL12 E
-


O PCL13 E
-


O PCL14 E
-


O PCL15 E
-


O PCL16 E
-


O PCL17 E
-


O PCL18 E
-


O PCL19 E
-


O PCL2 E
-


O PCL20 e
-


O PCL3 E
-


O PCL5 E
-


O PCL6 E
-


O PCL7 E
-


O PCL8 E
-


O PCL9 E
-
PCL 0
-

PCL 10a
-


PCL 11a
-


PCL 12a
-


PCL 13a
-


PCL 14a
-


PCL 15a
-


PCL 15b e
-


PCL 16a
-


PCL 16b e
-


PCL 1a
-


PCL 2a
-


PCL 3a
-


PCL 3b e
-
PCL 4a
-
PCL 4b e
-
PCL 5a

