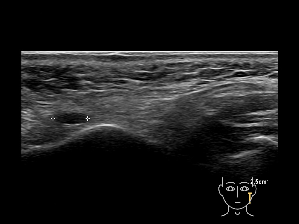
Parotid

Filler injections in the parotid gland may go unnoticed, however, inflammatory reactions and abscesses may occur. Hypervascularity can be seen with color doppler. Filler deposits are supposed to be injected into the superficial fatty layer . The space to inject into this layer may be limited. Routinely we measure a width of 2-4 millimeters with sometimes subcutaneous layers being less than one millimeter thick.

Study the first image to recognize the different layers. If you are sure about the layers, swipe to the second image to view the answer (if applicable).

Library

Hover over an image to view the secondary image or click on the image title for more information.