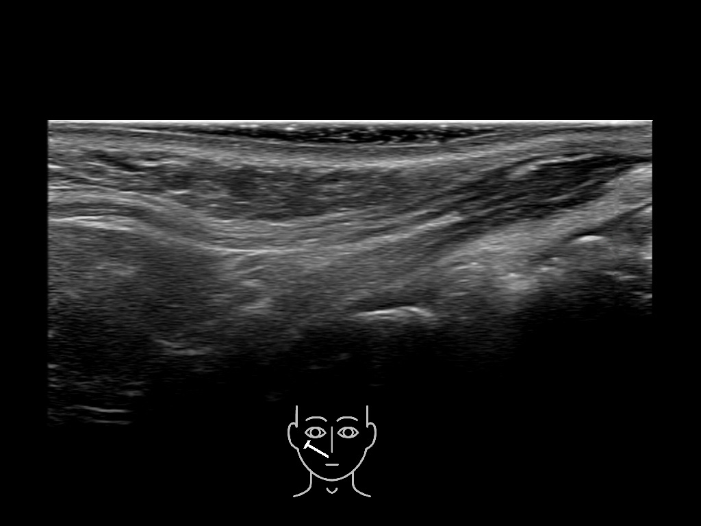
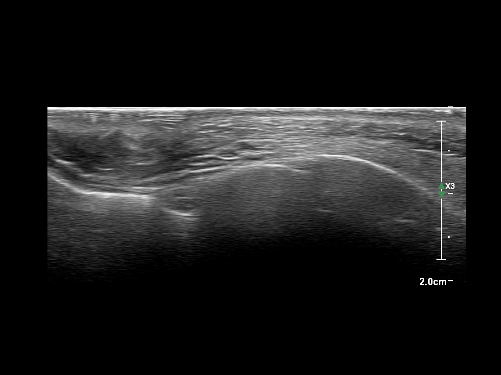
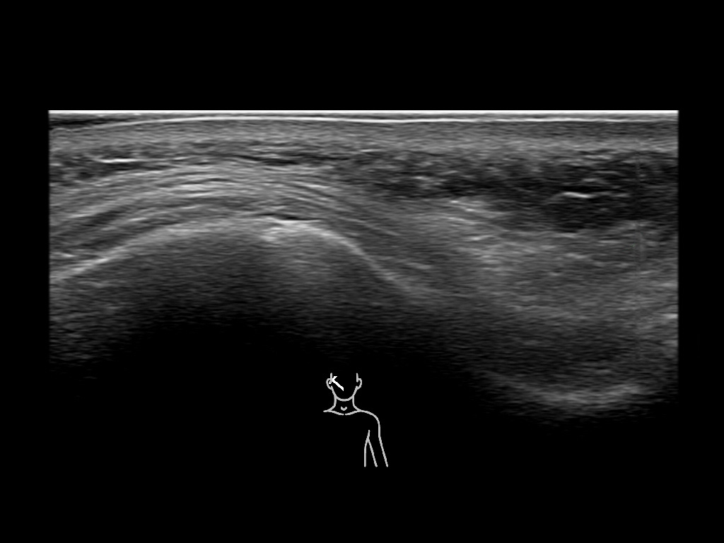
Study the first image to recognize the different layers. If you are sure about the layers, swipe to the second image to view the answer (if applicable).