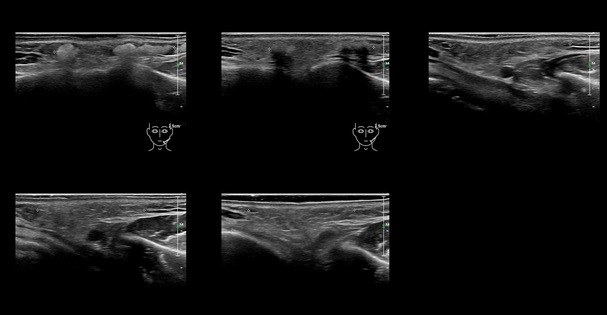
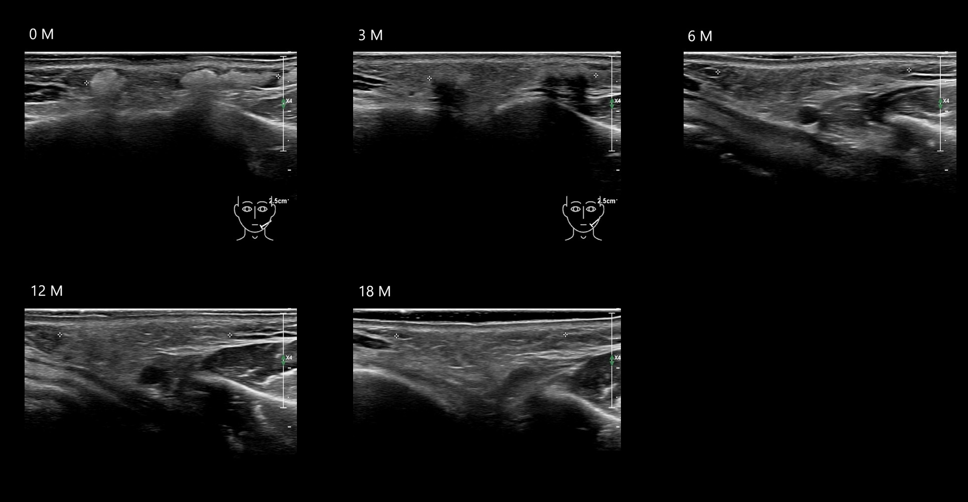
Fillers
Draw in the image on the right where the fillers are located. To check if your answer is correct, please click on the secondary image.
Fillers
Draw in the second image below where the fillers are located. To check if your answer is correct, swipe the first image to the right.
Filler library
-
haca 0
-


HAca 10a
-


HAca 10b e
-


HAca 11a
-


HAca 11b e
-


HAca 12a
-


HAca 12b e
-


HAca 13a
-


HAca 13b e
-


HAca 14a
-


HAca 14b e
-


HAca 15a
-


HAca 15b e
-


HAca 16a
-


HAca 16b e
-


HAca 17a
-


HAca 17b e
-


HAca 18a
-


HAca 19a
-


HAca 19b e
-


HAca 1a
-


HAca 1b e
-


HAca 20a
-


HAca 20b e
-
HAca 21a
-
HACa 21b e
-

HAca 22a
-

HACa 22a
-


HAca 23a
-


HAca 24a
-


HAca 25a
-
HAca 26a
-
HAca 27a
-


HAca 28a
-


HAca 29a
-


HAca 2a

