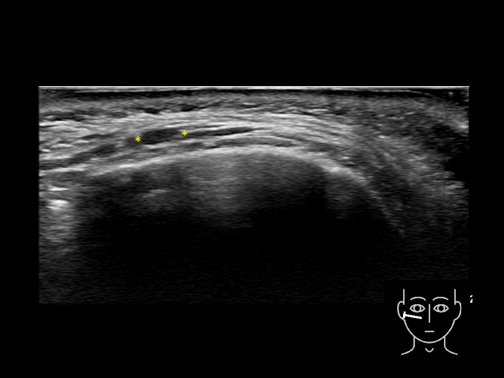
Fillers
Draw in the image on the right where the fillers are located. To check if your answer is correct, please click on the secondary image.
Fillers
Draw in the second image below where the fillers are located. To check if your answer is correct, swipe the first image to the right.



















































