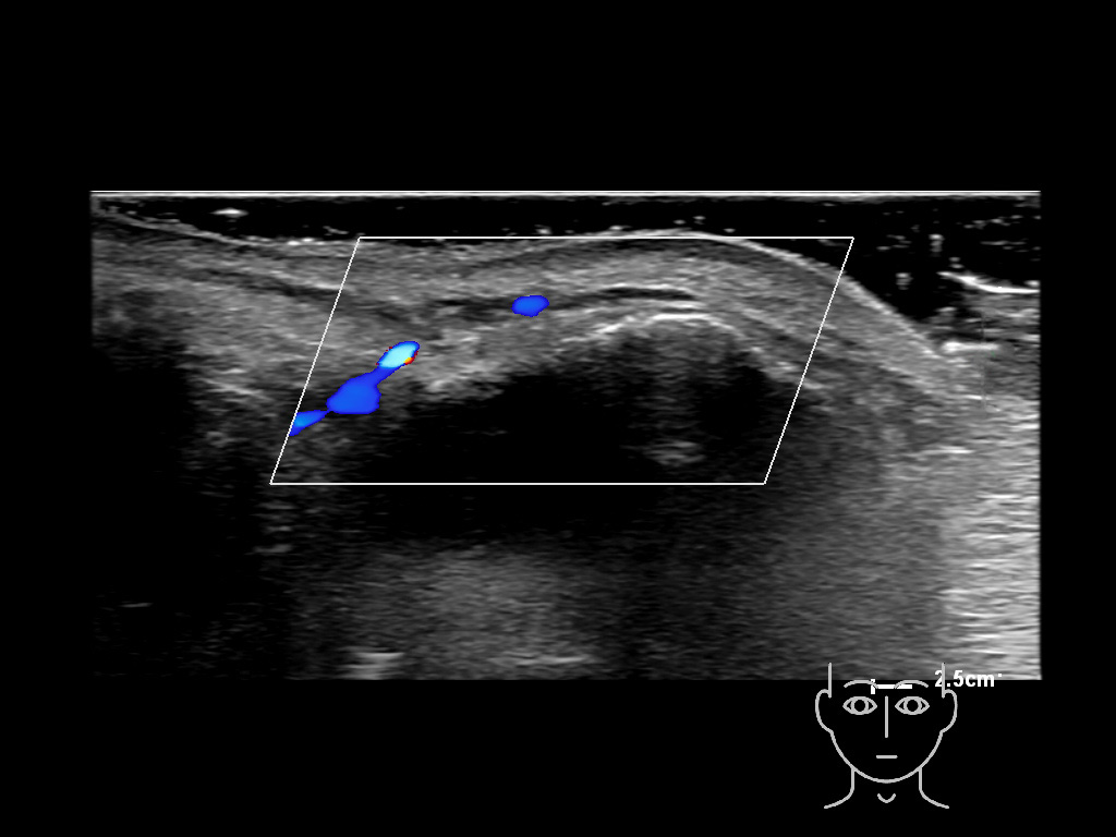
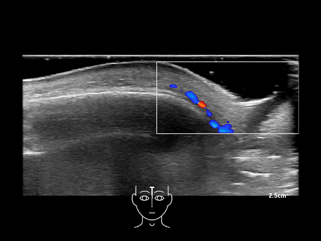
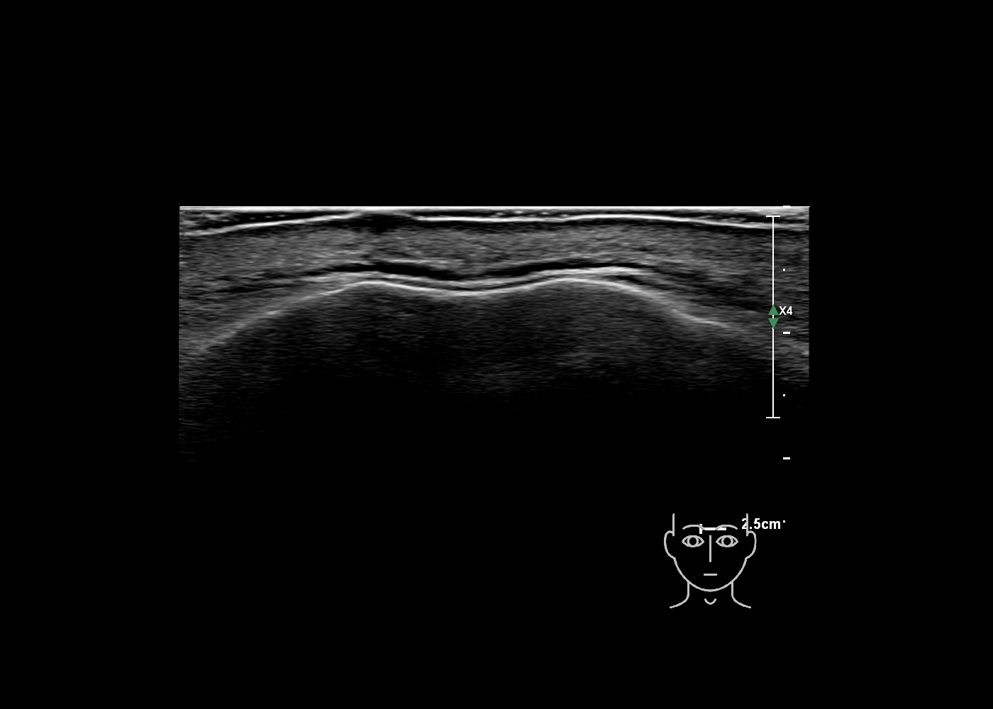
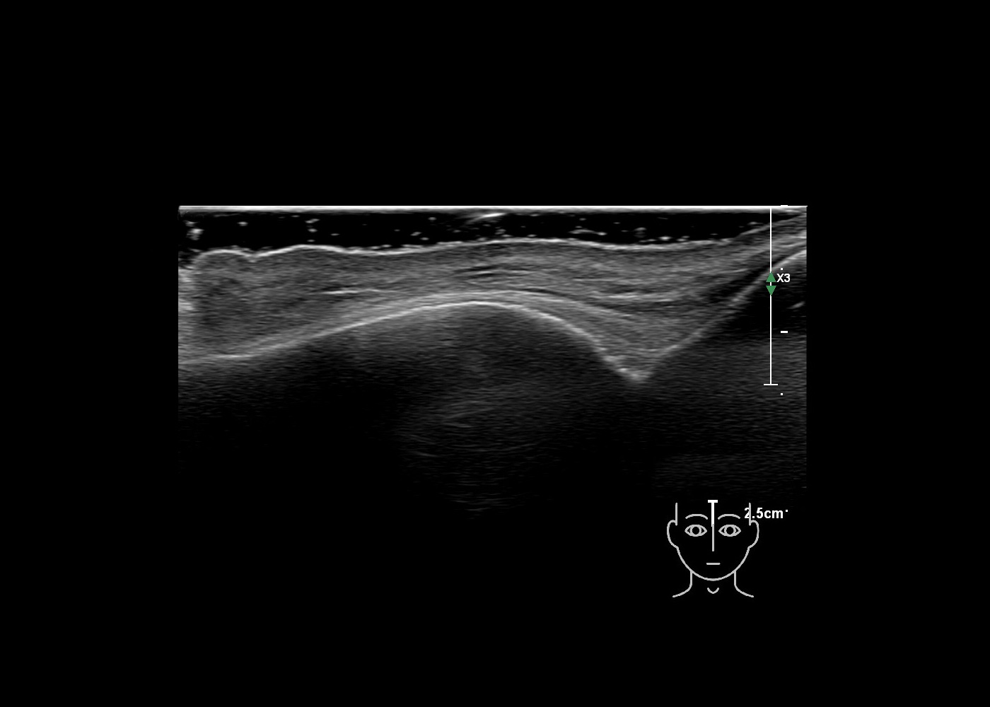
The forehead
In this section you will learn more about the different layers of the face with the use of ultrasound. When you click on the secondary ultrasound image, you will see the different structures as an overlay. This will help to train yourself to recognize the different layers of the face.
Study the first image to recognize the different layers. If you are sure about the layers, swipe to the second image to view the answer (if applicable).



















































