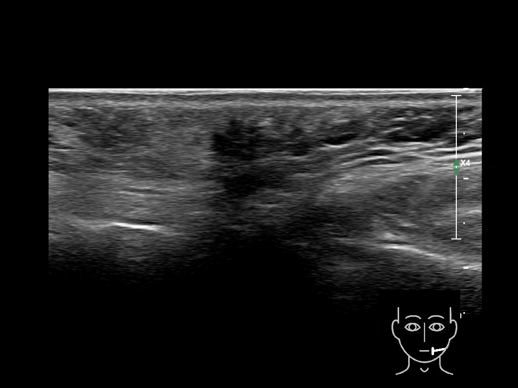
Fillers
Draw in the image on the right where the fillers are located. To check if your answer is correct, please click on the secondary image.
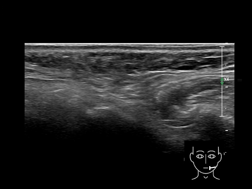
Fillers
Draw in the second image below where the fillers are located. To check if your answer is correct, swipe the first image to the right.
Filler library
-
caha 5b e
-
caha 60 b e
-
CaHa 60a
-


caha 61a
-


caha 61b e
-


caha 62a
-


caha 62b e
-


caha 63a
-


caha 63b e
-


CaHa 69a
-
CaHa 6a
-
caha 6b e
-


CaHa 70a
-
CaHa 7a
-
caha 7a e
-


caha 8a
-


caha 8b e
-


caha 9a
-


caha 9b e
-
caha0
-
caha26e
-


caha64b e
-


caha65e
-


caha66b e
-


caha67e
-


caha68b e
-


caha69b e
-


caha70b e
-


O CAHA 21 E
-


o caha1 e
-


o caha10 e
-


O CAHA11 E
-


O CAHA12 E
-


O CAHA13 E
-


o caha14 e
-


o caha15 e

